Tooth pain can be confusing. Sometimes it comes and goes, and other times it becomes impossible to ignore. While not every toothache requires major treatment, certain warning signs indicate a deeper infection—one that may need root canal treatment in Kasba.
Understanding these signs early can help you save your natural tooth, avoid severe pain, and reduce treatment costs.
What Is a Root Canal Treatment?
Root canal treatment is a procedure used to remove infection from inside a tooth. When decay or injury reaches the tooth’s nerve (pulp), it can cause intense pain and swelling.
The treatment:
- Removes infected pulp
- Cleans and disinfects the root canals
- Seals the tooth to prevent reinfection
- Preserves your natural tooth
Modern root canal treatment is safe, effective, and far less painful than most people expect.
Common Signs You May Need a Root Canal Treatment
Not all symptoms appear at once. In some cases, the infection progresses silently. Here are the most common signs to watch for.
Persistent or Severe Tooth Pain
Ongoing tooth pain is one of the strongest indicators of nerve infection.
You may notice:
- Pain that doesn’t go away
- Throbbing or sharp pain
- Pain that worsens at night
- Discomfort spreading to the jaw, ear, or face
If pain persists, tooth pain treatment in Kasba should not be delayed.
Sensitivity to Hot or Cold That Lingers
Occasional sensitivity is common—but lingering sensitivity is not.
Warning signs include:
- Pain after drinking hot tea or coffee
- Sharp sensation from cold water or ice cream
- Sensitivity lasting several minutes
This often indicates damaged or infected tooth pulp.
Swollen or Tender Gums
Gum swelling near a painful tooth is a serious sign.
You may experience:
- Puffy or red gums
- Tenderness when touched
- Swelling that comes and goes
Swelling often means the infection has spread beyond the tooth.
Tooth Discoloration or Darkening
A tooth that turns grey, brown, or darker than others may be dying internally.
Common causes include:
- Trauma to the tooth
- Long-standing infection
- Reduced blood supply to the tooth
Discoloration is a key sign that endodontic treatment may be required.
Pain While Chewing or Biting
If biting down causes discomfort, it could indicate infection at the tooth root.
This may feel like:
- Sharp pain when chewing
- Pressure sensitivity
- Discomfort while eating hard foods
Ignoring this can worsen the infection quickly.
Pimple or Abscess on the Gums
A small bump on the gums is often a dental abscess.
You may notice:
- A white or yellow pimple near the tooth
- Bad taste or pus discharge
- Temporary pain relief after discharge
This is a clear sign of infection and requires immediate dental infection treatment.
What Happens If You Delay Root Canal Treatment?
Delaying treatment can lead to serious complications.
Possible consequences include:
- Spread of infection to jawbone
- Severe facial swelling
- Tooth loss
- Need for extraction and replacement
- Higher treatment costs
Early root canal treatment in Kasba can save your tooth and prevent emergencies.
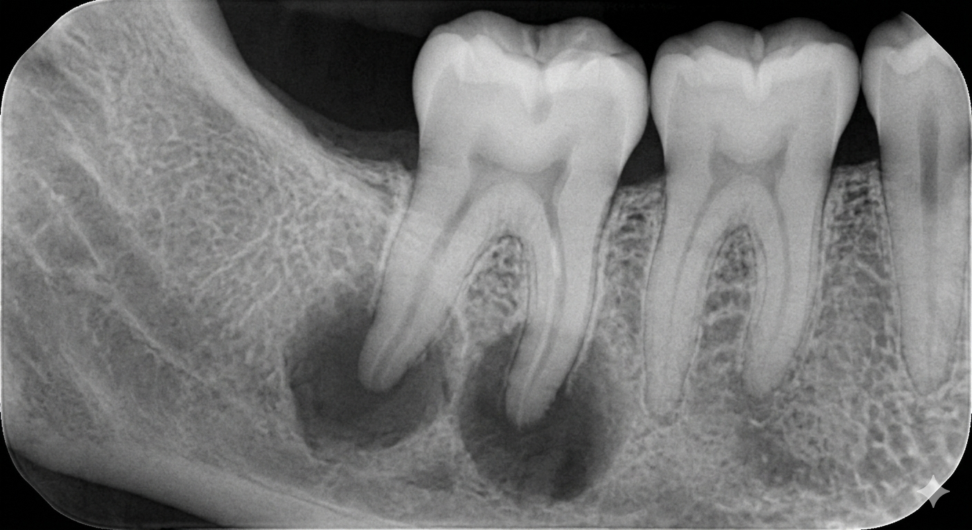
How a Dentist in Kasba Diagnoses the Need for a Root Canal
A professional diagnosis is essential.
Your dentist in Kasba may use:
- Clinical examination
- Dental X-rays
- Sensitivity tests
- Bite and pressure tests
Accurate diagnosis ensures the right treatment—no unnecessary procedures.
When to See a Dentist in Kasba Immediately
Seek emergency dental care in Kasba if you experience:
- Severe or unbearable tooth pain
- Facial or jaw swelling
- Fever with toothache
- Difficulty chewing or opening your mouth
Early intervention can make treatment simpler and more affordable.
Final Thoughts on Root Canal Treatment in Kasba
Recognizing the signs you may need a root canal treatment in Kasba can protect you from intense pain and tooth loss. Root canal treatment is not something to fear—it’s a tooth-saving solution that restores comfort and function.
If something doesn’t feel right, trust your symptoms and consult a dentist early. Your smile—and your health—are worth it.






















